出っ歯を矯正治療で改善した症例


| 年代、性別 | 20代 女性 |
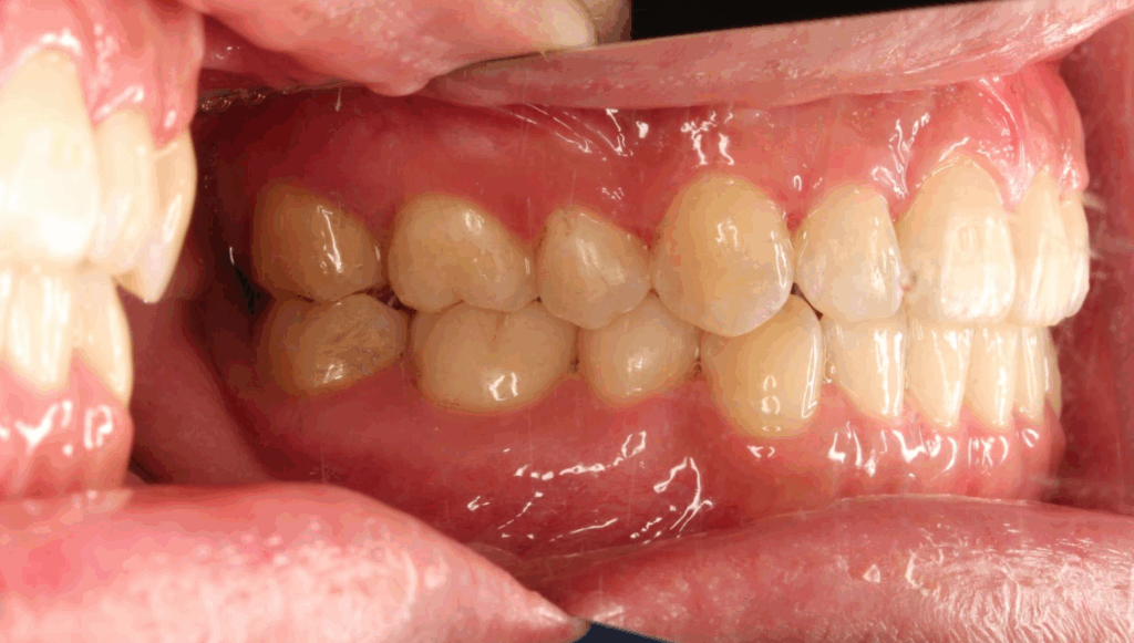
| 主訴 | 出っ歯 |
| 診断 | 骨格性Ⅰ級、歯性Ⅰ級、上顎前突 |
| 治療内容 | 上下顎左右4番抜歯(4本)、唇側ワイヤー矯正、リテーナー |
| 治療期間 | 約2.5年+メンテナンス |
| 治療リスク | 痛み、歯根吸収、歯肉退縮、ブラックトライアングル |
| 治療費用 | 約100万円 |



| 年代、性別 | 20代 女性 |
| 主訴 | 出っ歯 |
| 診断 | 骨格性Ⅰ級、歯性Ⅰ級、上顎前突 |
| 治療内容 | 上下顎左右4番抜歯(4本)、唇側ワイヤー矯正、リテーナー |
| 治療期間 | 約2.5年+メンテナンス |
| 治療リスク | 痛み、歯根吸収、歯肉退縮、ブラックトライアングル |
| 治療費用 | 約100万円 |