三井住友銀行ATMとなり
矯正治療に、不安や迷いを
抱えていませんか?
矯正治療は一般的な歯科治療に比べて高額になります。そのため、以下のようなお悩みをお持ちの方が多いです。
・自分に最適な装置はなに?
・後戻りしないかな?
・歯ぐきが下がったらどうしよう?
・治療中に虫歯や歯周病は予防できる?
私たちは矯正医と歯周病学会専門医の院長による精密な診断で、不安を一つずつ解消していきます。
治療法の選択はもちろん、歯ぐきの見た目や噛み合わせ、仕上がりまで考慮して治療計画をご提案します。
お子様から大人の方まで、
幅広い年齢の方に対応します。
-
01成人矯正
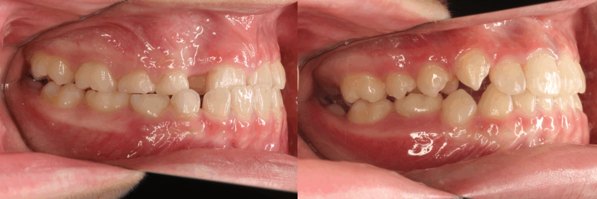
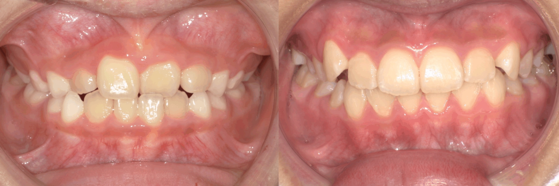
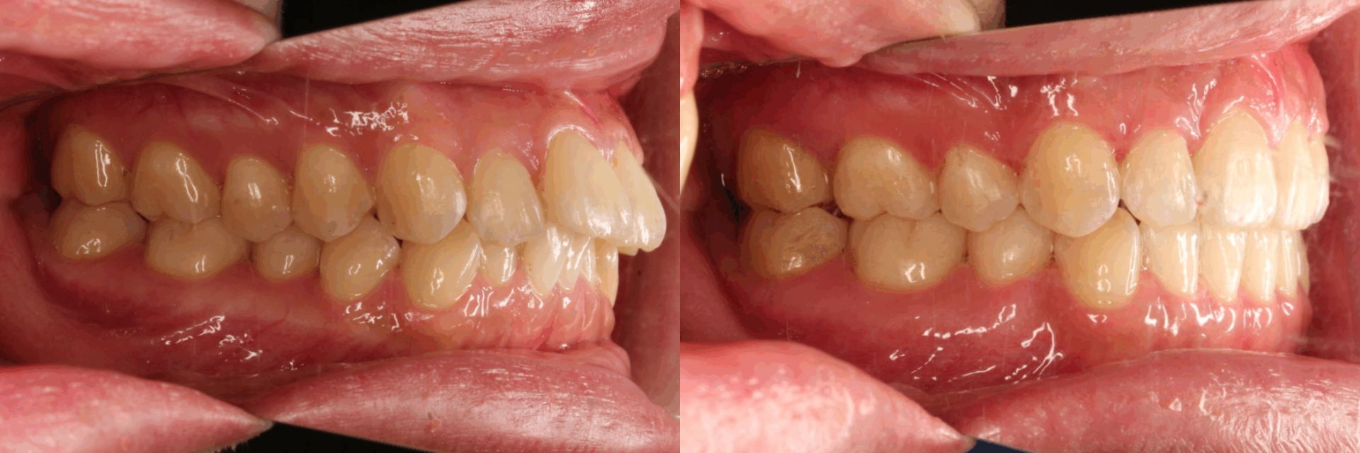
大人の方の矯正治療に対応しています。あらゆる不正咬合に対応しております。ワイヤー・マウスピースの双方に対応しており、場合によってはそれらを組み合わせた治療も行っています。 -
02小児矯正
顎の成長を促すための一期治療から永久歯列の二期矯正までの双方に対応しております。乳歯から永久歯に生え変わるタイミングで歯並びが悪くなることが多いです。その際は一度、ご相談ください。
当院だからこそ可能な
不安を取り除く矯正治療の”強み”
矯正医による丁寧なカウンセリング
昨今はマウスピース矯正の台頭により、矯正医ではなくとも矯正治療が行えます。しかし、デジタル技術を活用するあまりに、基本を理解されずに診断を下すことで、見た目は綺麗なのに噛み合わせは悪い。という問題が散見されます。当院では昭和医科大学でも矯正治療を行っていた女性の矯正医が丁寧なカウンセリングを実施しています。
あらゆる症例や装置に対応
矯正医が在籍することにより、ワイヤー・マウスピースといった様々な装置で治療を行えます。また、大人から子供まであらゆる症例に対応することが可能です。
歯並びに困ったら、一度当院へご相談にいらしてください。セカンドオピニオンも実施しています。
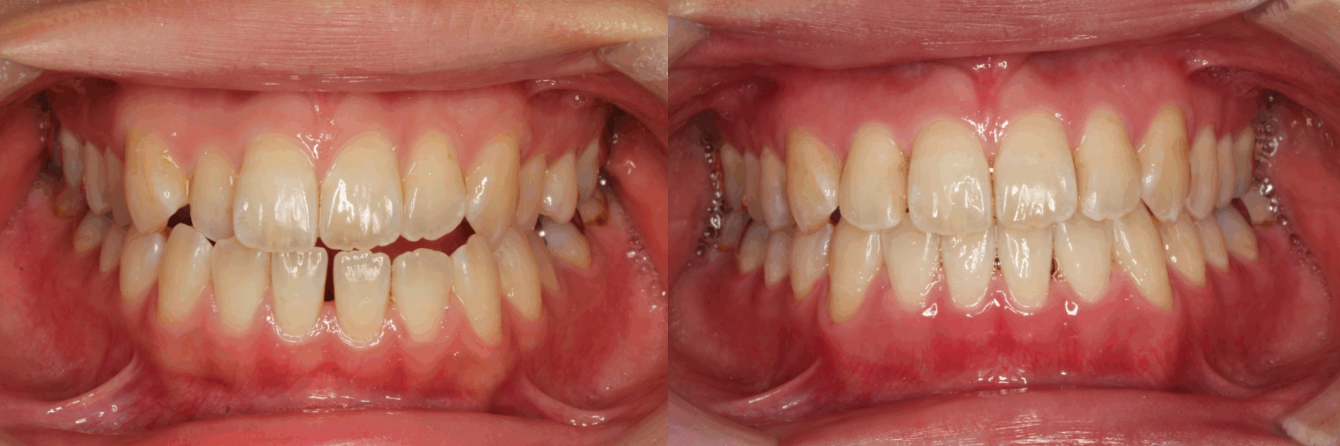
歯茎下がりのリカバリーも対応
矯正で二の足を踏む理由の1つに「歯茎下がり」があります。なるべく歯茎が下がらないように意識しても、歯を動かす量が多いと歯茎が下がるリスクは高まります。
当院では院長が日本歯周病学会専門医です。歯周病の専門性には「歯周形成外科」という歯肉を移植して、歯茎下がりを改善する処置に対応できるという強みがあります。
万が一歯茎下がりが起こっても、リカバリーができる歯科医院は少ないため当院の特徴と言えるでしょう。
矯正治療の流れ
-
1
無料矯正相談
セカンドオピニオンまずは無料矯正相談からお越しください。
また、自分に最適な治療をお探しの方はセカンドオピニオンをご利用ください。
歯並び・噛み合わせ・装置など気になることは何でもご相談ください。 -
2
精密検査
丁寧なカウンセリングお口全体の状態を検査します。歯並びだけでなく、噛み合わせに関してもしっかりと検査を行います。その後は検査結果を元に丁寧なカウンセリングを行います。疑問点や不安なポイントを1つずつ解決してきます。
-
3
治療計画の提案・決定
矯正医より治療計画のご提案をいたします。
まずは矯正治療のゴールを一緒に描き、そのゴールに到達するための治療法をご提案します。歯肉退縮や他の審美性が気になる方は院長が責任を持って解決策を提案します。装置の決定もこのタイミングで行います。 -
4
矯正治療開始
ワイヤーの場合は装置の装着、マウスピース矯正の場合は口腔内のスキャニングを行った上で、完成したらマウスピースを装着していただきます。
矯正治療を行う上での注意点などもしっかりお伝えしていきます。 -
5
調整
クリーニング矯正治療中はワイヤーであっても、マウスピースであっても必ず調整や確認を行います。当院ではワイヤー治療では約1ヶ月に1回、マウスピースでは約1-3ヶ月に1回来院していただきます。その際ご希望があれば、歯科衛生士によるクリーニングも行います。
-
6
治療終了
保定装置へ移行矯正治療が終了したら、後戻りを防止するために保定装置を装着していただきます。保定期間は約2年行い、経過観察を通して問題がなければ保定を終了します。
