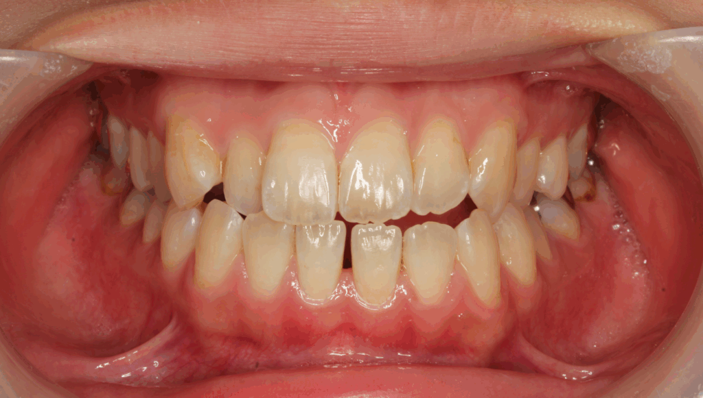
開咬を矯正治療で改善した症例


| 年代、性別 | 20代 女性 |
| 主訴 | 前歯で物が噛めない、でこぼこ |
| 診断 | 骨格性Ⅲ級、歯性Ⅲ級、開咬、前歯部叢生 |
| 治療内容 | 非抜歯、唇側ワイヤー矯正、リテーナー |
| 治療期間 | 約1.5年+メンテナンス |
| 治療リスク | 痛み、歯根吸収、歯肉退縮、ブラックトライアングル |
| 治療費用 | 約90万円 |



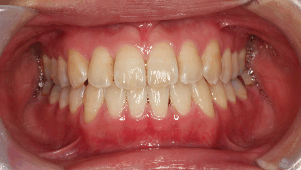
| 年代、性別 | 20代 女性 |
| 主訴 | 前歯で物が噛めない、でこぼこ |
| 診断 | 骨格性Ⅲ級、歯性Ⅲ級、開咬、前歯部叢生 |
| 治療内容 | 非抜歯、唇側ワイヤー矯正、リテーナー |
| 治療期間 | 約1.5年+メンテナンス |
| 治療リスク | 痛み、歯根吸収、歯肉退縮、ブラックトライアングル |
| 治療費用 | 約90万円 |